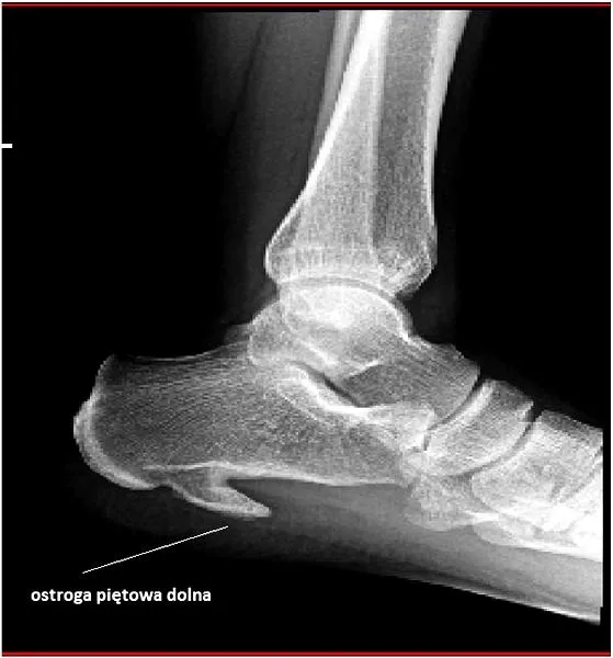
Ostroga piętowa staje się zmorą wielu biegaczy, a ja niestety również musiałem się z nią zmierzyć. To schorzenie objawia się ostrym bólem pięty, który odczuwam głównie rano, kiedy stawiam pierwsze kroki po dłuższym odpoczynku. Jeżeli cię to ciekawi, sprawdź, czy ból gardła przeszkadza w bieganiu. W takich momentach czuję, jakbym chodził po kawałkach szkła, co stanowi naprawdę niezbyt przyjemne doświadczenie. Takie dolegliwości potrafią skutecznie zrujnować zarówno moje treningi, jak i radość z biegania. Dlatego niezwykle istotne staje się zrozumienie tego problemu oraz podjęcie odpowiednich działań.
- Ostroga piętowa to powszechna dolegliwość wśród biegaczy, powodująca ostry ból pięty.
- Podstawą leczenia ostrogi piętowej jest odpowiednia rehabilitacja i modyfikacje w treningach.
- Unikanie przeciążenia stopy oraz poszukiwanie alternatywnych form aktywności, takich jak pływanie, są zalecane.
- Odpowiednie obuwie, zapewniające amortyzację i wsparcie dla łuku stopy, jest kluczowe dla komfortu biegania.
- Regularne ćwiczenia wzmacniające i rozciągające przyczyniają się do zmniejszenia bólu i zapobiegają nawrotom dolegliwości.
- Monitorowanie aktywności fizycznej i stopniowe zwiększanie intensywności treningów są ważne dla bezpiecznego powrotu do biegania.
- Warto zasięgnąć porady fizjoterapeuty przed powrotem do aktywności, aby ocenić stan zdrowia stopy.
- Odpowiednia dieta i utrzymywanie zdrowej wagi ciała mogą zredukować ryzyko nawrotu bólu.
- Regularne stosowanie terapii fizykalnej oraz samodzielnych metod rehabilitacyjnych wspomaga regenerację.
Wprowadzenie modyfikacji w codziennej aktywności oraz skupienie się na rehabilitacji stanowi podstawę leczenia ostrogi piętowej. Unikanie przeciążania stopy jest kluczowe – zdaję sobie sprawę, że nie mogę biegać tak intensywnie jak wcześniej, jednak mogę poszukiwać alternatywnych form aktywności, takich jak pływanie czy jazda na rowerze. Równocześnie wprowadzam do swojego planu ćwiczenia wzmacniające oraz rozciągające, które pomagają wzmocnić mięśnie łydek oraz rozcięgno podeszwowe. Regularne wykonywanie takich ćwiczeń przynosi mi ulgę w bólu i skutecznie zapobiega nawrotom dolegliwości.
Wielu biegaczy zmaga się z ostrogą piętową i wraca do aktywności
Gdy już zmagam się z ostrogą, staram się zadbać o odpowiednie obuwie. Zainwestowałem w buty, które gwarantują dobrą amortyzację pięty oraz wsparcie łuku stopy. Co nieco w tym temacie napisaliśmy w tym poście. Dodatkowo korzystam z wkładek ortopedycznych, które znacząco redukują ból i poprawiają komfort biegania. Jak dostrzegłem, stosowanie dobrego obuwia, a także regularne wykonywanie ćwiczeń może znacząco złagodzić dolegliwości. Nie lubię biegać w bólu, dlatego po każdym treningu wykonuję stretching, co pozwala mi na uelastycznienie mięśni oraz zmniejszenie ryzyka urazów.

Najważniejsze jednak to nie poddawać się i nie rezygnować z aktywności. Ostroga piętowa stanowi wyzwanie, ale przy odpowiednim podejściu oraz cierpliwości można z nią żyć i na nowo powrócić do pełnego biegania. Kluczem do sukcesu staje się przemyślane podejście do treningów, regularna rehabilitacja oraz wsłuchanie się w potrzeby własnego ciała. W końcu każdy biegacz zasługuje na to, aby cieszyć się każdą chwilą spędzoną na bieżni czy leśnej ścieżce.
Bieganie z ostrogą piętową – jak bezpiecznie wrócić do aktywności
W przypadku biegaczy z ostrogą piętową kluczowe staje się odpowiednie podejście do leczenia oraz adaptacji aktywności fizycznej. W związku z tym przedstawiamy szczegółową listę kroków, które warto podjąć, aby bezpiecznie powrócić do biegania, a jednocześnie zminimalizować ryzyko zaostrzenia objawów. Każdy z poniższych punktów omawia istotne aspekty tego procesu, które ułatwią rehabilitację.
- Skonsultuj się z fizjoterapeutą – Zanim podejmiesz jakąkolwiek aktywność fizyczną z ostrogą piętową, pamiętaj o uzyskaniu profesjonalnej opinii. Fizjoterapeuta oceni Twoją sytuację, zidentyfikuje problemy biomechaniczne, a następnie zaproponuje właściwe ćwiczenia oraz strategie rehabilitacji.
- Wdrażaj program ćwiczeń wzmacniających i rozciągających – Regularne wykonywanie tych grup ćwiczeń odgrywa kluczową rolę w zdrowiu stóp. Skup się więc na:
- Wzmacnianiu mięśni łydki i rozcięgna podeszwowego, na przykład korzystając z wspięć na palcach z opóźnionym opadaniem;
- Rozciąganiu tylnej taśmy ciała, koncentrując się na ścięgnie Achillesa oraz mięśniach podudzia. Osiągniesz to dzięki różnorodnym ćwiczeniom rozciągającym lub rolowaniu piłką massage;
- Monitoruj aktywność i stopniowo zwiększaj intensywność treningów – Kiedy objawy bólowe ustąpią, wprowadzaj bieganie w sposób stopniowy. Rozpocznij od krótszych dystansów i niższej intensywności, a następnie zwiększaj obciążenie o maksymalnie 10% co tydzień. Zamiast biegać na długich trasach, rozważ bieganie w interwałach lub pływanie jako alternatywę, co odciąży Twoje stopy.
- Dostosuj obuwie do biegania i zastosuj wkładki ortopedyczne – Wybieraj buty z dobrą amortyzacją oraz odpowiednim wsparciem łuku stopy. Dobrze dobrane wkładki pomogą zredukować obciążenia na piętę i poprawić biomechanikę chodzenia oraz biegania. Unikaj twardych, płaskich czy niewłaściwie dopasowanych butów, ponieważ mogą one zaostrzać Twoje problemy.
- Utrzymuj odpowiednią wagę ciała – Każdy dodatkowy kilogram zwiększa obciążenie, jakie stopy muszą znosić podczas biegu. Warto więc zwrócić uwagę na dietę oraz regularną aktywność fizyczną, aby utrzymać zdrową wagę i zredukować ryzyko nawrotu bólu.
- Regularnie stosuj terapię fizykalną oraz samodzielną rehabilitację – Korzystaj z zabiegów takich jak ultradźwięki, terapia falą uderzeniową czy masaże, które wspierają regenerację tkanek. Dodatkowo rolowanie piłką lub butelką pod stopą okaże się pomocne w łagodzeniu napięcia oraz poprawie krążenia w tym obszarze.
Stosowanie powyższych zasad znacząco przyczyni się do bezpiecznego powrotu do biegania i zminimalizuje ryzyko nawrotów ostrogi piętowej. Pamiętaj, aby stale utrzymywać kontakt z lekarzem lub fizjoterapeutą podczas rehabilitacji.
Najlepsze ćwiczenia na ostrogę piętową – poradnik dla biegaczy
Ostroga piętowa stanowi powszechny problem wśród biegaczy, który znacząco utrudnia codzienne funkcjonowanie oraz aktywność fizyczną. W tym poradniku zamierzamy przedstawić szczegółowe ćwiczenia, które skutecznie wspomogą leczenie i rehabilitację ostrogi piętowej. Warto podkreślić, że wszystkie proponowane metody uzyskały rekomendacje specjalistów i koncentrują się na poprawie stanu stopy oraz łagodzeniu bólu.
- Rolowanie rozcięgna podeszwowego - Aby zminimalizować napięcia w rozcięgnie, przygotuj piłeczkę do masażu, najlepiej twardą, i umieść ją pod stopą. Rozpocznij przesuwanie piłki wzdłuż całej stopy, zwracając szczególną uwagę na bolesne miejsca. Zatrzymaj się na chwilę tam, gdzie odczuwasz dyskomfort, i poczekaj, aż ból ustąpi, zanim przejdziesz do kolejnego obszaru. Regularne rolowanie skutkuje rozluźnieniem tkanek oraz poprawą krążenia krwi.
- Rozciąganie ścięgna Achillesa - Ustaw się w wykroku, wysuwając jedną nogę do przodu, podczas gdy drugą nogę pozostaw z tyłu, chcąc, by pięta tylnej nogi pozostała na podłodze. Ugnij kolano przedniej nogi, trzymając równocześnie tylne kolano w pozycji wyprostowanej. Powinieneś odczuwać rozciąganie w łydce tylnej nogi. Wytrzymaj w tej pozycji przez około 30 sekund, a następnie zmień nogi. To ćwiczenie skutecznie redukuje napięcie w ścięgnie Achillesa, co jest niezwykle ważne w rehabilitacji ostrogi piętowej.
- Wzmacnianie mięśni łydki - Usiądź na krześle, trzymając ręcznik jedną ręką, a drugą umieść go pod palcami stóp drugiej nogi, pilnując, by pięta pozostała na podłodze. Wykonaj wspięcia na palcach, unosząc końce jak najwyżej, a następnie powoli opuszczając pięty na ziemię. Powtórz to ćwiczenie 10-15 razy. Regularne wzmacnianie mięśni nóg przyczynia się do lepszej stabilizacji stopy oraz niweluje ból.
- Rozciąganie przedniej i tylnej taśmy - Usiądź na podłodze z wyprostowanymi nogami. Sięgnij rękami do palców stóp, zachowując prosty kręgosłup. Jeśli napotykasz ograniczenia w ruchomości, wykorzystaj ręcznik, by ułatwić sobie rozciąganie. Utrzymaj pozycję przez 20-30 sekund. Rozciąganie całej tylnej taśmy ciała odciąża dolne partie nóg i poprawia ich elastyczność.
- Regularne rozciąganie w ciągu dnia - Wprowadzaj proste ćwiczenia rozciągające zarówno rano, jak i przed snem. Pamiętaj o ciepłych kąpielach stóp oraz stosowaniu dedykowanych preparatów do pielęgnacji. Dbanie o elastyczność tkanek stanowi kluczowy element profilaktyki ostrogi piętowej.

Nie zapominaj, że każdy pacjent wymaga indywidualnego podejścia, dlatego przed rozpoczęciem ćwiczeń wskazana jest konsultacja z fizjoterapeutą. Odpowiednia diagnoza oraz zalecenia dotyczące rehabilitacji stanowią klucz do skutecznego leczenia i powrotu do pełnej aktywności.
Bezpieczny powrót do biegania po ostrodze piętowej – krok po kroku
Powrót do biegania po ostrodze piętowej wymaga cierpliwości i odpowiedniego podejścia. Po dłuższej przerwie, gdy ból ustępuje, nadszedł czas, aby ponownie poczuć wiatr we włosach. Kluczowe jest, aby najpierw skoncentrować się na rehabilitacji oraz wprowadzić zmiany w codziennych nawykach, co umożliwi uniknięcie nawrotów. Warto zacząć od wprowadzenia ćwiczeń wzmacniających i rozciągających, które odbudują siłę oraz elastyczność mięśni stopy i łydki. Ponadto, zadbanie o właściwe wsparcie ortopedyczne również pozostaje istotne.
Kiedy odczuwamy, że nasza stopa jest gotowa na pierwsze biegi, musimy podążać w tym kierunku krok po kroku. Rozpoczynam od spokojnego, wolnego biegu na krótszych dystansach, ograniczając zarówno intensywność, jak i częstotliwość treningów. Warto też unikać podbiegów oraz intensywnych sesji, które mogą zbytnio obciążać stopę. Używając specjalistycznych wkładek ortopedycznych w butach oraz dobierając odpowiednie obuwie, zmniejszam ryzyko wystąpienia bólu podczas każdej próby biegania.
Właściwa rehabilitacja i wzmocnienie jako kluczowe elementy powrotu do biegania
W trakcie całego procesu nie zapominam o systematycznym rozciąganiu mięśni nóg, co jest niezwykle istotne. Do dbania o odpowiednią elastyczność i rozluźnienie tkanek wykorzystuję piłki do masażu oraz rolki. Rano i wieczorem przeprowadzam ćwiczenia rehabilitacyjne na ścięgno Achillesa oraz rozcięgno podeszwowe. Te działania pozwalają mi nie tylko utrzymać formę, ale także uniknąć zbędnych dolegliwości. Dzięki temu rytuałowi czuję, że mogę wrócić do pełnej sprawności, a moje stopy będą mi wdzięczne za taki wysiłek.
Na koniec zawsze pamiętam, że każda osoba jest inna i wymaga indywidualnego podejścia. Jeśli ból wraca lub się nasila, zdecydowanie odwiedzam swojego fizjoterapeutę, który pomoże mi zrozumieć, co mogę poprawić. Regularna kontrola postępów oraz dostosowywanie treningu do aktualnych możliwości fizycznych stanowią klucz do sukcesu. Mam nadzieję, że dzięki tym staraniom wkrótce znów mogę cieszyć się długimi biegami i odkrywać na nowo piękno otaczającego mnie świata.
Ciekawostką jest, że według badań, słuchanie muzyki podczas rehabilitacji i powrotu do aktywności fizycznej może znacznie poprawić motywację i zmniejszyć odczuwany ból, co może być pomocne podczas treningów po ostrodze piętowej.
Wybór odpowiednich butów dla biegaczy z ostrogą piętową – klucz do komfortu

Wybór odpowiednich butów odgrywa kluczową rolę dla każdego biegacza, a w przypadku osób z ostrogą piętową staje się wręcz sprawą priorytetową. Ostroga piętowa, będąca wynikiem przeciążeń rozcięgna podeszwowego, powoduje ból i może skutecznie zniechęcić do biegania. Tak na marginesie, sprawdź, jak wybrać idealny strój do biegania na jesień. W związku z tym postanowiłem poświęcić chwilę na przemyślenie cech, jakie powinny posiadać idealne buty biegowe, aby zminimalizować ból i umożliwić komfortowy powrót do treningów.

Podczas wyboru obuwia warto skupić się na modelach oferujących dobrą amortyzację oraz wsparcie łuku stopy. Buty z miękkimi podeszwami oraz elastycznymi materiałami mogą nie zapewniać wystarczającej stabilizacji, co może prowadzić do nasilania dolegliwości. Z drugiej strony, zbyt twarde obuwie najczęściej prowadzi do dodatkowych urazów. W moim przypadku najlepiej sprawdzają się modele, które posiadają specjalne wkładki ortopedyczne. Takie rozwiązanie lepiej rozkłada nacisk na stopę, co zdecydowanie poprawia komfort w trakcie każdego biegu.
Nieodpowiednie obuwie pogłębia problem ostrogi piętowej
Kiedy szukałem swoich idealnych butów, unikałem modeli z płaską podeszwą oraz wysokimi obcasami. Takie obuwie nie tylko zaburza biomechanikę biegu, ale także może przyczyniać się do dalszych mikrourazów stopy. Dodatkowo istotne jest, aby regularnie wykonywać ćwiczenia rozciągające i wzmacniające, co znacząco może pomóc w zapobieganiu nawrotom ostrogi piętowej. Jak już poruszamy się w tym temacie to odkryj kluczowe ćwiczenia, które zwiększą twoją wydolność. Połączenie odpowiedniego obuwia z systematycznym treningiem, koncentrującym się na łydkach oraz rozcięgnie, przynosiło mi ulgę i pozwalało wracać do ukochanego biegania.
Należy również pamiętać o stopniowym powrocie do aktywności. Rozpoczęcie od mniejszych obciążeń minimalizuje ryzyko pogorszenia sytuacji. Niezależnie od tego, jak poważne lub mniej uciążliwe są nasze problemy ze stopami, właściwie dobrane buty biegowe mogą znacząco wpłynąć na jakość naszych treningów oraz ogólny stan zdrowia. Dlatego warto poświęcić czas na wybór odpowiednich modeli – nasze stopy z pewnością będą nam wdzięczne przez długi czas.
| Cechy butów biegowych | Opis |
|---|---|
| Amortyzacja | Oferująca dobrą amortyzację, która minimalizuje ból podczas biegu. |
| Wsparcie łuku stopy | Buty powinny zapewniać odpowiednie wsparcie dla łuku stopy. |
| Miękkie podeszwy | Unikać butów z zbyt miękkimi podeszwami, ponieważ mogą nie zapewniać stabilizacji. |
| Twarde obuwie | Zbyt twarde buty mogą prowadzić do dodatkowych urazów. |
| Ortopedyczne wkładki | Model z specjalnymi wkładkami ortopedycznymi lepiej rozkłada nacisk na stopę. |
| Płaska podeszwa | Unikać modeli z płaską podeszwą, które zaburzają biomechanikę biegu. |
| Wysokie obcasy | Obuwie z wysokimi obcasami może przyczyniać się do mikrourazów stopy. |
| Regularne ćwiczenia | Ćwiczenia rozciągające i wzmacniające mogą zapobiegać nawrotom ostrogi piętowej. |
| Stopniowy powrót do aktywności | Rozpoczęcie od mniejszych obciążeń minimalizuje ryzyko pogorszenia sytuacji. |
Ciekawostką jest, że niektóre modele butów biegowych są wyposażone w technologie takie jak żelowe lub powietrzne poduszki, które dodatkowo zwiększają poziom amortyzacji i mogą pomóc w złagodzeniu bólu związanego z ostrogą piętową, co sprawia, że biegacze z tą dolegliwością mogą cieszyć się większym komfortem podczas treningów.
Źródła:
- https://www.matnerrunning.pl/ostroga-pietowa-cwiczenia-i-bieganie/
- https://biegajacyortopeda.pl/porady-ortopedy/bol-w-stopie/
- https://www.rehasport.pl/stopa-i-staw-skokowy/ostroga-pietowa-cwiczenia,5482,n,4329
- https://www.maratonypolskie.pl/mp_index.php?dzial=8&action=2&code=2259
- https://kinesis-krakow.pl/ostroga-pietowa-i-zapalenie-rozciegna-podeszwowego---leczenie










